Eczema (Itching)
Eczema (Itching)

At MES Foundation, we are dedicated to promoting healthy living by spreading awareness about common skin conditions like Eczema, often known as chronic skin itching and rashes.

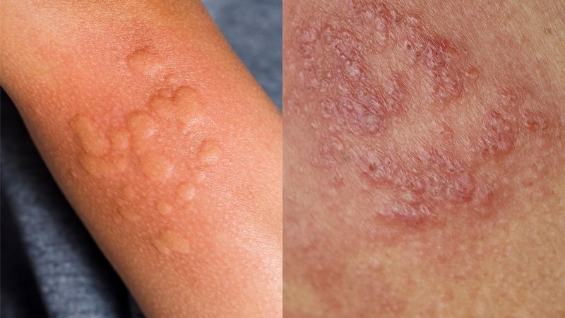
Eczema is a skin disease that causes itching, redness, dryness, and irritation. It can affect people of all ages, especially children. Eczema is not contagious, but it can seriously affect a person’s comfort and confidence.

Common symptoms of Eczema include:  Continuous itching and dryness  Red or inflamed skin patches

Thick, cracked, or scaly skin Fluid-filled blisters in severe cases

Eczema can worsen due to:

Dust, pollution, or chemical exposure Harsh soaps and detergents Stress and allergies  Extreme weather (hot or cold)

At MES Foundation, we work to:

Educate people about proper skin care and hygiene Spread awareness about triggers and prevention methods

 Promote early treatment through moisturizers, medicines, and doctor guidance

Reduce stigma around skin conditions through community education

MES Foundation
MES Foundation
MES Foundation
MES Foundation
MES Foundation
MES Foundation
MES Foundation